В России рак почки занимает 9-е место среди всех злокачественных новообразований, составляя 3,8% от общего числа онкологических заболеваний. В 2024 году было выявлено более 22 000 новых случаев рака почки. Заболеваемость выше среди мужчин, чем среди женщин, и чаще встречается в возрастной группе 60-74 года. Смертность от рака почки также выше среди мужчин.

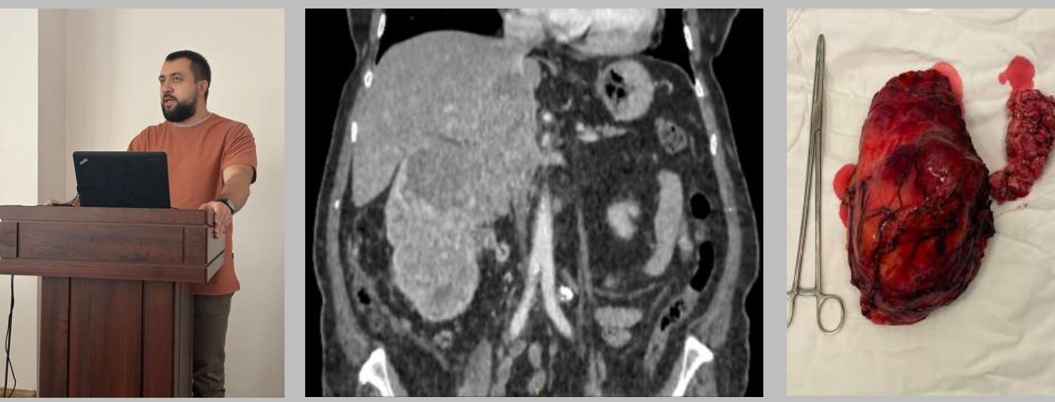
На компьюторной томограмме представлен внутрисосудистый рост опухоли по ходу почечной вены в нижнюю полую вену, встречается у 4-10% больных почечно-клеточным раком. Слева фотография удаленной почки с тромбом.
Врач онкоурологического отделения ОБУЗ «Курский онкологический научно-клинический центр имени Г.Е. Островерхова» Антонов Андрей Александрович представил доклад о текущем состоянии вопроса в Курской области относительно маршрутизации пациентов, применения современных методов диагностики и оперативного лечения. В рамках выступления доктор также поделился опытом проведения уникальных операций, осуществляемых на базе онкоурологического отделения данного медицинского учреждения.
Примером может служить лапароскопическая нефрэктомия с тромбэктомией из нижней полой вены. Тромб, сформировавшийся в просвете почечной или нижней полой вен, представляет собой фрагмент опухоли, распространившийся по сосудистому руслу. Единственным эффективным методом лечения является хирургическое иссечение опухолевого образования и тромба. Данный метод был детально рассмотрен в ходе презентации, основные этапы операции продемонстрированы в видеофрагментах.
После доклада аудитория активно задавала вопросы, что говорит о большом интересе к тематике.
С презентацией можно ознакомиться по ссылке представленной ниже.